Spor Yoğunluğuna Bağlı Kaburga Kırıkları

Bu makalede, egzersiz sonucu uygulanan ve tekrarlayan bir kuvvet tarafından oluşan kaburga kırıklarından bahsedeceğiz. Bu durumun ortaya çıkmasını önlemek için uygulanan kuvvetin kemiğin direnç kapasitesinden az olması gerekir.
Dokunun doğrudan bir travmayla değil de, aynı yeri sürekli olarak etkileyen küçük travmaların tekrarlanmasıyla ortaya çıkar. Bir noktada, hücrelerin kendi esnekliği dayanamaz ve kırılma meydana gelir.
Kaburga kırıkları neden baskı altında ortaya çıkar?
Sporda baskı altında kalan kaburgaların kırıldığı mekanizma yorgunluktur. Bu terimin tanımlanması zordur, çünkü yorgun olduğumuzda kullandığımız yorgunluk anlamına gelmez.
Kemik dokusu yorgunluğu, yükleri taşımak zorunda oldukları tekrarlama ile bağlantılıdır. Her gün aynı kürek hareketiyle antrenman yapan bir kayakçı düşünelim. Bu durumda, kaburgalar, kendilerine uygulanan kuvvetin ısrarına dayanamayana kadar torasik kaslar tarafından sürekli olarak bastırılır.
Normal koşullar altında, hücreler tarafından kısa sürede küçük bir travma tamir edilebilir. Bununla birlikte, kaburga kırıklarında, iyileşme için zaman yoktur ve çatlak her seferinde kemiği daha da derine götürebilir. Kırılma noktasına ulaşıldığında, sakatlanma belirginleşir.
Uluslararası Ayak Hastalıkları Bilimi Dergisi tarafından yayınlanan bir araştırmaya göre, rüptürün yayılma şekli, tek bir travmanın neden olduğu yaygın kırıklardan farklıdır. Kaburgalar dik olarak kırılmaya başlar, ancak kemiğin kenarına paralel bir yönde ilerler.

Kaburga kırıkları belirtileri
Ağrı ve acı, kırık bir kaburganın en karakteristik belirtisidir. Kronik yorgunluktan kaynaklanma söz konusu olduğunda, rahatsızlığın akut olmadan yavaş, sinsice gelişmesi mümkündür.
Derin nefes alma hareketleri meydana geldiğinde bu ağrı artar. Nefes alıp verirken ve özellikle nefes alırken, kostal eksen rahatsız olur ve rahatsızlık olarak kendini gösterir. Genel olarak, bu ağrı lokalizedir ve diğer bölgelere yayılmaz, ancak sinir sıkışması varsa, sternuma veya arkaya doğru ağrı artabilir.
Enflamasyon değişkendir; bazı sporcular kırık bölgesinde bir yumru fark ederken, diğerleri sadece ağrıyı algılar. Sıvı birikimi varsa, cildin rengini değiştirmesi ve hatta hasarlı kaburgada bir çürük oluşması da mümkündür.
Baskı nedeniyle oluşan kaburga kırığı kas rüptürüne veya tam tersine yol açtıysa, hematom her zaman değişken bir boyuta sahiptir. Bu, boksör için farklıyken kürek oyuncusu ve vücut geliştirme yapan sporcu için farklıdır. Spor salonundaki kötü tekniklerden dolayı da ortaya çıkabilir.
Bu sakatlanmanın risk faktörleri
Baskı kırıklarının ortaya çıkmasını destekleyen farklı durumlar ve risk faktörleri vardır. Arjantin Spor Travmatoloji Derneği dergisinin yayınına göre, sakatlanma neredeyse her zaman düşük dereceli olarak sınıflandırılır, yani ciddi formlara dönüşme olasılığı düşüktür. Böylece, dinlenme ile çözülebilir.
Bu faktörlerin bilgisi sayesinde yeterli bir önleme düşünülebilir. En alakalı olanlar şunlardır;
- Kötü duruş ve teknik: sakatlanmaları önlemek için özel ve kanıtlanmış metodolojilere sahip sporlar vardır. Sporcu bu hareketlere uymazsa, sakatlanmalara maruz kalması mümkündür.
- Düşük kemik yoğunluğu: osteopeni veya osteoporozu olan kişiler kemiklerinde daha düşük yoğunluğa sahiptir, bu nedenle kalsiyum ve doku çerçevesi eksiktir. Bu gibi durumlarda, maruz kaldıkları baskının kaburgalarını kırabilmesi mümkündür.
- Tekrarlama ile aşırı efor: eğer sporcu aynı antrenmanı her zaman ağırlık ve kuvvet düzeni olmadan tekrarlarsa, vücudun bazı bölgelerini fazla yorması mümkündür. Bunu değiştirmek için ilerici fiziksel aktivite modelleri ve eğitmenlerin hazırlıklara rehberlik etmesi gerekir.

Kaburga kırığı ile ne yapmalı?
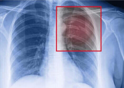
Eğer bir sporcuysanız ve kaburga kırığından müzdaripseniz, yapmanız gereken ilk şey bir doktora danışmaktır. Yaralanmayı doğrulamak için bir göğüs röntgeni yapılacak ve uzantısı değerlendirilecektir.
İlk önerilerden biri, kaburganın iyileşebilmesi için fiziksel aktiviteyi azaltmak veya durdurmaktır. Semptomları yönetmek için analjezikler ve anti-inflamatuar ilaçlar da reçete edilebilir. Bir bandajın kullanımı ciddiyete göre gerekebilir ve stabilizasyona yardımcı olabilir.
Son olarak, fizik tedavi de dahil olmak üzere rehabilitasyonun planlanması gerekecektir. Bilimsel literatüre göre bu çok önemlidir. Nüksleri önlemek ve spora geri dönmek için torasik kaslar için güçlendirme egzersizleri yapılmalıdır. Cerrahi müdahale, yer değiştirme nedeniyle kaburga ekseninin kaybolduğu aşırı yerçekimi vakaları için gerçekleştirilebilir.
Bu makalede, egzersiz sonucu uygulanan ve tekrarlayan bir kuvvet tarafından oluşan kaburga kırıklarından bahsedeceğiz. Bu durumun ortaya çıkmasını önlemek için uygulanan kuvvetin kemiğin direnç kapasitesinden az olması gerekir.
Dokunun doğrudan bir travmayla değil de, aynı yeri sürekli olarak etkileyen küçük travmaların tekrarlanmasıyla ortaya çıkar. Bir noktada, hücrelerin kendi esnekliği dayanamaz ve kırılma meydana gelir.
Kaburga kırıkları neden baskı altında ortaya çıkar?
Sporda baskı altında kalan kaburgaların kırıldığı mekanizma yorgunluktur. Bu terimin tanımlanması zordur, çünkü yorgun olduğumuzda kullandığımız yorgunluk anlamına gelmez.
Kemik dokusu yorgunluğu, yükleri taşımak zorunda oldukları tekrarlama ile bağlantılıdır. Her gün aynı kürek hareketiyle antrenman yapan bir kayakçı düşünelim. Bu durumda, kaburgalar, kendilerine uygulanan kuvvetin ısrarına dayanamayana kadar torasik kaslar tarafından sürekli olarak bastırılır.
Normal koşullar altında, hücreler tarafından kısa sürede küçük bir travma tamir edilebilir. Bununla birlikte, kaburga kırıklarında, iyileşme için zaman yoktur ve çatlak her seferinde kemiği daha da derine götürebilir. Kırılma noktasına ulaşıldığında, sakatlanma belirginleşir.
Uluslararası Ayak Hastalıkları Bilimi Dergisi tarafından yayınlanan bir araştırmaya göre, rüptürün yayılma şekli, tek bir travmanın neden olduğu yaygın kırıklardan farklıdır. Kaburgalar dik olarak kırılmaya başlar, ancak kemiğin kenarına paralel bir yönde ilerler.

Kaburga kırıkları belirtileri
Ağrı ve acı, kırık bir kaburganın en karakteristik belirtisidir. Kronik yorgunluktan kaynaklanma söz konusu olduğunda, rahatsızlığın akut olmadan yavaş, sinsice gelişmesi mümkündür.
Derin nefes alma hareketleri meydana geldiğinde bu ağrı artar. Nefes alıp verirken ve özellikle nefes alırken, kostal eksen rahatsız olur ve rahatsızlık olarak kendini gösterir. Genel olarak, bu ağrı lokalizedir ve diğer bölgelere yayılmaz, ancak sinir sıkışması varsa, sternuma veya arkaya doğru ağrı artabilir.
Enflamasyon değişkendir; bazı sporcular kırık bölgesinde bir yumru fark ederken, diğerleri sadece ağrıyı algılar. Sıvı birikimi varsa, cildin rengini değiştirmesi ve hatta hasarlı kaburgada bir çürük oluşması da mümkündür.
Baskı nedeniyle oluşan kaburga kırığı kas rüptürüne veya tam tersine yol açtıysa, hematom her zaman değişken bir boyuta sahiptir. Bu, boksör için farklıyken kürek oyuncusu ve vücut geliştirme yapan sporcu için farklıdır. Spor salonundaki kötü tekniklerden dolayı da ortaya çıkabilir.
Bu sakatlanmanın risk faktörleri
Baskı kırıklarının ortaya çıkmasını destekleyen farklı durumlar ve risk faktörleri vardır. Arjantin Spor Travmatoloji Derneği dergisinin yayınına göre, sakatlanma neredeyse her zaman düşük dereceli olarak sınıflandırılır, yani ciddi formlara dönüşme olasılığı düşüktür. Böylece, dinlenme ile çözülebilir.
Bu faktörlerin bilgisi sayesinde yeterli bir önleme düşünülebilir. En alakalı olanlar şunlardır;
- Kötü duruş ve teknik: sakatlanmaları önlemek için özel ve kanıtlanmış metodolojilere sahip sporlar vardır. Sporcu bu hareketlere uymazsa, sakatlanmalara maruz kalması mümkündür.
- Düşük kemik yoğunluğu: osteopeni veya osteoporozu olan kişiler kemiklerinde daha düşük yoğunluğa sahiptir, bu nedenle kalsiyum ve doku çerçevesi eksiktir. Bu gibi durumlarda, maruz kaldıkları baskının kaburgalarını kırabilmesi mümkündür.
- Tekrarlama ile aşırı efor: eğer sporcu aynı antrenmanı her zaman ağırlık ve kuvvet düzeni olmadan tekrarlarsa, vücudun bazı bölgelerini fazla yorması mümkündür. Bunu değiştirmek için ilerici fiziksel aktivite modelleri ve eğitmenlerin hazırlıklara rehberlik etmesi gerekir.

Kaburga kırığı ile ne yapmalı?
Eğer bir sporcuysanız ve kaburga kırığından müzdaripseniz, yapmanız gereken ilk şey bir doktora danışmaktır. Yaralanmayı doğrulamak için bir göğüs röntgeni yapılacak ve uzantısı değerlendirilecektir.
İlk önerilerden biri, kaburganın iyileşebilmesi için fiziksel aktiviteyi azaltmak veya durdurmaktır. Semptomları yönetmek için analjezikler ve anti-inflamatuar ilaçlar da reçete edilebilir. Bir bandajın kullanımı ciddiyete göre gerekebilir ve stabilizasyona yardımcı olabilir.
Son olarak, fizik tedavi de dahil olmak üzere rehabilitasyonun planlanması gerekecektir. Bilimsel literatüre göre bu çok önemlidir. Nüksleri önlemek ve spora geri dönmek için torasik kaslar için güçlendirme egzersizleri yapılmalıdır. Cerrahi müdahale, yer değiştirme nedeniyle kaburga ekseninin kaybolduğu aşırı yerçekimi vakaları için gerçekleştirilebilir.
- Lora Veramendi, Maylin. “Tratamiento fisioterapéutico en fractura de esternón y costillas.” (2018).
- Torrengo, Federico, Vicente Paús, and Jorge Cédola. “Fracturas por estrés en deportistas.” Rev la Asoc argentina Traumatol del Deport (2010): 18-23.
- del Arco, Jessica Grande. “Fracturas de estrés en atletas.” Revista Internacional de Ciencias Podológicas 12.2 (2018): 63.
- Puyol, Sonia Galicia, et al. “Tipos de fracturas costales encontradas en traumatismos costales”. Seram (2018).
This text is provided for informational purposes only and does not replace consultation with a professional. If in doubt, consult your specialist.







